Новый стандарт диагностики в стоматологии

Уважаемый пациент!
Ни одна уважающая себя стоматологическая клиника не начнет даже планирование лечения (не говоря уже о лечении) без качественной диагностики. В настоящее время первое место среди методов диагностики в стоматологии занимает рентгенологическое обследование зубочелюстной системы.
В нашей клинике рентген-диагностика проводится только на современном рентгеновском дентальном цифровом панорамном аппарате "Veraviewepocs 2 D" на аппарате японского производителя фирмы "Дж. Морита Мфг.Корп.". Это позволяет получить более качественные рентгенограммы и, самое главное, снизить лучевую нагрузку при проведении исследования. За счет чего это происходит? Дело в том, что в данном случае используется не рентгеновская пленка, а цифровой сенсор (датчик), который обладает на порядок большей чувствительностью, нежели чем самая современная пленка, поэтому для съемки зуба или челюсти с помощью сенсора требуется гораздо меньшее время излучения (экспозиция). Кроме того, полученное изображение на мониторе компьютера появляется мгновенно, т.е. нет необходимости ждать, когда Вам подготовят Ваш снимок.
И еще один важный момент: снимок всегда хранится в компьютерной базе данных и заносится в Вашу персональную электронную карту. Ведь обычную пленочную рентгенограмму можно «где-нибудь забыть, потерять или случайно испортить», и информация теряется. Для Вас же производится отпечатка изображения на принтере или данные переносятся на цифровой носитель (CD-диск).
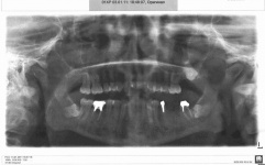
Если Ваш доктор назначает ОПТГ - ортопантомографию, то этот метод позволит получить снимок, на котором будет одномоментное изображение всей зубочелюстной системы как единого функционального комплекса. Благодаря данному методу можно проводить диагностику различных заболеваний зубочелюстной системы: выявление кариеса контактных поверхностей коронковой части и пришеечных отделов зубов, выявление кариеса пришеечных и жевательных поверхностей коронковой части зуба под пломбами, определение локализации деструктивных процессов, анализ количества и характера изгиба корней зубов.
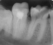
И обязательными при диагностике заболеваний и лечении зубов будут так называемые«прицельные» снимки. Правильное название данного метода - интраоральная рентгенография зубов. Эти снимки проводятся для определения состояния костной ткани возле апекса (верхушки) корня и в процессе лечения для контроля расположения эндодонтического инструмента в корневых каналах и контроля качества пломбирования корневых каналов. Кроме того, интраоральные рентгенограммы, проведенные по интерпроксимальному методу, показывают состояние коронковой части зуба: наличие кариозной полости на контактных поверхностях коронковой части и пришеечных отделах зубов, а также на пришеечных и жевательных поверхностях коронковой части зуба под реставрацией (пломбами и металлокерамическими конструкциями), наличие твердого зубного налета («камушки»), качество прилегания реставрации.
Учитывая сложность диагностики и разнообразие патологии зубочелюстной системы, наличие скрытых и атипичных форм заболеваний, проведение точных манипуляций во время стоматологического вмешательства и высокую значимость контроля качества лечения, необходимость использования самого современного и высокоинформативного диагностического оборудования является очевидной.
Также в нашей клинике используется интраоральная камера, что позволяет пациенту и врачу наглядно (на мониторе) увидеть состояние каждого зуба и зубного ряда в целом!